【こんな症例も治りますシリーズ 831】『 重度貧血で来院した高齢犬  ― 免疫介在性溶血性貧血(IMHA)と診断し治療に苦慮した症例 』も適切な診断と治療で治します

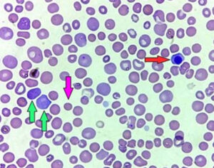
↑ 上の写真は、免疫介在性溶血性貧血の犬の血液塗抹標本。

■ 赤血球の大きさが不均一な大小不同症と、多染性赤血球(多染性赤血球:より大きく好塩基性の未熟な赤血球;緑色の矢印)が認められる。

■ 核を持つ赤血球(赤色の矢印)も存在し、これは赤血球の再生を示唆している。

■ 球状赤血球(中心部が淡い色の小さな赤血球;ピンク色の矢印)も認められる。

 

 

参考サイト:

https://00m.in/apJef

 

犬 シーズー 15歳 メス(避妊手術済み)

 

 

【 食欲低下と元気消失 】を主訴に来院されました。

 

 

◆◆ 来院時の身体検査では、口腔粘膜は著しく蒼白であり、重度の貧血が強く疑われる状態でした。

 

 

■ すぐに、血液検査を実施したところ、
ヘマトクリット値 14% と著しい低下を認め、重度貧血と診断されました。

 

 

 

■■ 貧血の鑑別

 

 

◆ 貧血が認められた場合、まず重要なのは
再生性か非再生性かの評価です。

 

 

◆ 本症例では網赤血球数の増加が認められ、『 再生性貧血 』と判断されました。
再生性貧血であれば、出血または溶血が主な原因として考えられます。

 

 

■ まず出血の有無を確認するため、腹部画像検査および糞便検査を実施しましたが、腹腔内出血や消化管出血を示唆する所見は認められませんでした。

 

 

■ このことから、『 溶血性貧血の可能性が高い 』と判断しました。

 

 

 

 

■■ 血液塗抹検査

 

 

◆ 血液塗抹標本を評価したところ、
『 **球状赤血球(SPHEROCYTE)** 』が多数確認されました。

 

 

■ 球状赤血球は、免疫学的に赤血球が破壊されることで形成される特徴的な所見であり、
免疫介在性溶血性貧血(IMHA)を強く示唆します。

 

 

■ この時点で、本症例は『 IMHAが強く疑われる状態 』と判断しました。

 

 

 

 

■■ 初期治療

 

 

■ 重度貧血により全身状態が不安定であったため、
まず救急的に輸血を実施しました。

 

 

■ 輸血後はヘマトクリット値の改善が認められ、全身状態も一時的に安定しました。

 

 

■ その後、根本治療として免疫抑制剤1療法を開始しました。

 

 

 

 

■■ 再悪化と治療強化

 

 

■ 治療開始後はいったん貧血の改善がみられましたが、
約1週間後に再びヘマトクリット値の低下が確認されました。

 

 

■ 再度血液塗抹検査を行ったところ、

 

★★★ 球状赤血球の増加、赤血球凝集(自己凝集)の出現

 

が認められ、免疫介在性の溶血が持続・悪化している状態と判断しました。

 

 

 

 

◆ このため、

 

 

免疫抑制剤1の増量

免疫抑制剤2の追加投与

 

 

を行い、治療の強化を実施しました。

 

 

 

 

■■ その後の経過

 

 

◆ 治療強化後、さらに約1週間で徐々にヘマトクリット値の改善傾向が認められるようになりました。

 

 

■ 現在は貧血は改善傾向にありますが、IMHAは再燃や急変のリスクがある疾患であるため、引き続き慎重なモニタリングを行っています。

 

 

 

 

■■ まとめ

 

 

■ 本症例は、重度貧血で来院し、再生性貧血の評価と血液塗抹検査によりIMHAが強く疑われた症例でした。

 

 

### IMHAは

 

1)急激に進行することがある

 

2)一時的に改善しても再悪化することがある

 

3)治療反応に個体差が大きい

 

といった特徴があり、初期対応と継続的な評価が極めて重要です。

 

 

 

 

◆ 特に

 

 

1) 粘膜蒼白

2) 元気消失

3) 急激な食欲低下

 

 

といった症状が見られた場合、早急な検査と対応が必要となります。

 

 

 

 

◆◆◆ さらに、現在の治療でも悪化した場合には、当院には『 好成績な根本的な治療方法 』がありますので、ご安心ください。

 

 

 

■ 今後も慎重に経過観察を行っていきます。

 

 

 

 

獣医師 増田正樹

Page Top