【こんな症例も治りますシリーズ 824】『 歩きづらさの原因は“筋肉の間の脂肪腫”だった  ― ウェルシュ・コーギーの筋間脂肪腫 』も適切な診断と治療で治します

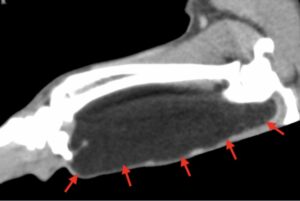
↑ 上の写真は、左前肢の『肘関節より下のCT画像』です。

■ 赤い矢印で示された黒色のエリアが、『筋間脂肪腫』です。

■ 手術では、この黒色のエリアを切除しました。

 

 

犬 ウェルシュ・コーギーネコ 8歳 オス(去勢手術済み)

 

 

【 左前肢がなんとなく腫れている 】とのことで来院されました。

 

 

◆◆ 触診では明らかな痛みはないものの、全体的に左前肢が太くなっているような印象がありました。

 

 

■ レントゲンだけでは腫瘤の境界や深さの評価が難しかったため、CT検査を実施しました。

 

 

■ その結果、腫瘤は皮下ではなく、筋肉と筋肉の間に存在する腫瘤であることがわかりました。

 

 

 

 

◆◆ さらにパンチ生検を行ったところ、病理組織検査の結果は脂肪腫でした。

 

 

■ 画像所見とあわせて、**筋間脂肪腫(intermuscular lipoma)**と診断しました。

 

 

 

 

◆◆◆ 筋間脂肪腫とは?

 

 

■ 脂肪腫は一般的に皮下にできる良性腫瘍ですが、

まれに筋肉の間(筋間)や筋肉内に発生するタイプがあります。

 

 

■ このタイプは、外から触っても境界が分かりづらく、

進行すると筋肉や神経を圧迫し、歩行障害や疼痛の原因になることがあります。

 

 

 

 

◆◆ 当初は良性腫瘍であったため、しばらく経過観察としました。

 

 

■ しかし、時間の経過とともに腫瘤が大きくなり、

 

 

■ 次第に歩きづらそうな様子がみられるようになったため、外科手術を実施しました。

 

 

 

 

◆◆ 手術では、筋間に入り込んだ腫瘤を周囲の組織を温存しながら慎重に剥離し、

全てきれいに摘出することができました。

 

 

 

 

◆◆ 術後は歩行状態も改善し、

現在は跛行も消失し、元気に歩けるようになっています。

 

 

 

 

◆◆ 筋間脂肪腫は良性腫瘍ですが、

 

 

■ 発生部位によっては生活の質(QOL)を大きく下げる原因になります。

 

 

■ 『 なんとなく太くなった 』、『 左右差がある 』といった変化も、

重大な病気のサインであることがあります。

 

 

 

 

◆◆ 気になる変化があれば、早めの画像検査をおすすめします。

 

 

 

 

獣医師 増田正樹

Page Top