【こんな症例も治りますシリーズ 819】『 主訴とは別の身体検査で見つかった心臓病 』も適切な診断と治療でコントロールします

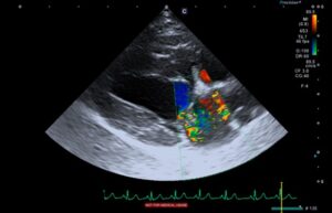
↑ 上の写真は、犬の心臓エコー検査写真です。

■ カラフルなモザイク模様の部分がありますが、ここは僧帽弁から左心房に逆流した血流です。

■ この血流が多いと、左心房が膨らんで容積が大きくなってきます。

 

 

『 ― 早めの再検査が治療開始のベストタイミングに― 』

 

 

 

 

犬 チワワ 9歳 オス(未去勢手術)

 

 

◆◆ 【 主訴は心臓とは別の症状 】 で来院されました。

 

 

 

■■ 身体検査での気づき

 

 

■ 主訴の診察を行う前に、いつも通り全身の身体検査を行ったところ、今まで指摘されたことのない心雑音 を聴取しました。

 

 

■ 飼い主様にお話を伺うと、

 

 

・ これまで他院で心臓について何も言われたことがない

 

 

・ 心臓の検査をしたこともない

 

 

とのことでした。

 

 

 

 

■ そのため、主訴の検査・治療と同時に、心臓の精査も行うこと にしました。

 

 

 

 

■■ 心臓検査の結果

 

 

・ レントゲン検査

 

 

・ 心臓超音波検査

 

 

を実施したところ、僧帽弁からの逆流を確認

 

 

 

 

■ 僧帽弁閉鎖不全症(MMVD)ステージB1に該当する状態でした。

 

 

■ この段階では、通常であれば お薬を使わず定期的な経過観察 を行います。

 

 

 

■■ 気になったポイント

 

 

・ 心雑音が これまで無く、急にしっかり聴こえるようになった

 

 

・ 一部の心臓関連の数値がやや高め

 

 

という点が気になりました。

 

 

 

 

■ 『 今はB1でも、短期間で進行する可能性がある 』

と判断し、

 

 

1ヶ月後に再検査 を行うことにしました。

 

 

 

 

■■ 1ヶ月後の再検査

 

 

■ 再度、心エコー検査を行ったところ、

 

 

・ 心臓の一部の数値が 前回より上昇

 

 

・ 僧帽弁閉鎖不全症ステージB2のボーダーをやや超える値

 

 

となっていました。

 

 

 

■ この結果を受けて、心臓の収縮力をサポートするお薬を適切なタイミングで開始することができました。

 

 

 

 

■■ 早すぎず、遅すぎない治療開始

 

 

■ もし、まだ症状がないからと検査間隔を空けていたら気づいた時には心拡大が進行していた可能性もあります。

 

 

■ 逆に、初回検査だけで判断していれば、まだ薬を始める段階ではありませんでした。

 

 

■ 1ヶ月後の再検査 を選択したことで、

『 ちょうどよい治療開始のタイミング 』を逃さずに済みました。

 

 

 

■■ まとめ

 

 

■ 今回の症例から分かることは、

 

 

・ 主訴とは関係ない 身体検査が重要

 

 

・ 心雑音は「ある・ない」だけでなく変化の仕方 も大切

 

 

・ 数値や聴診所見から怪しいと感じた時の短期再検査 は治療の質を大きく左右する

 

 

という点です。

 

 

 

■ 心臓病は、症状が出てからではすでに進行していることも少なくありません。

 

 

 

■ 特に小型犬では、『 たまたま見つかった心雑音 』が将来を左右することもあります。

 

 

 

■ 身体検査で気になる所見があった場合は、症状がなくても定期的な心臓検査をおすすめします。

 

 

 

獣医師 土屋優希哉

Page Top